
白く輝く歯は年齢や性別を問わず、誰もが憧れるもののひとつ。
健康的なイメージはもとより、その表情さえも魅力的に変える力を持っています。
加齢や生活習慣などが原因の歯のくすみや変色を、表面をいっさい削ることなく、ナチュラルで輝きのある白さを取り戻しましょう!
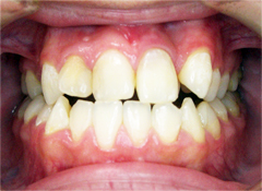
専用の装置を用いて、上顎のみ自宅で一週間ホワイトニング
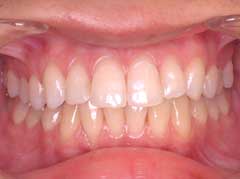
上下顎のホワイトニング終了時
神経が死んで変色してしまった前歯
変色した1本の歯だけ医院でホワイトニング
ほとんどの方が可能です。
しかし、それほど効果がない場合もあります。
ご希望があれば、事前に診査・診断した上で、ホワイトニングの適応症かどうかを判断いたします。
※但し、下記の場合は使用不可となります。
健全でない歯/就寝中の装着/無カタラーゼ症の方/妊娠中・授乳期の女性/小児/重度の歯肉炎や歯周炎を発症している方
はい。
漂白ジェルの主成分は、過酸化尿素です。過酸化尿素を用いる歯のホワイトニングに関しては、多くの研究と臨床例が報告されているので、適切な指導のもとで使用すれば、歯や歯肉に悪影響を及ぼすこともなく安全です。
治療期間中、まれに知覚過敏(歯がしみるような症状)が起きることがあります。
その場合も、治療を一時中断することにより、症状は軽減または消失するので安心ですが、歯科医師と相談しながら中断・再開の時期を判断していけば、いっそう安心です。
個人差にもよりますが、処置前の状態に戻ることはありません。
しかし、カフェインやタバコなどの着色の原因になるものを日常的に摂取している場合は、再度ホワイトニングが必要となりますので、定期的に歯科医院による診査・診断を受け、継続的に使用してください。
残念ながら健康保険の対象ではありません。
詳しくはお問い合わせください。
診療日カレンダー
